Health Library

Health Library Explorer
A B C D E F G H I J K L M N O P Q R S T U V W X Y Z A-Z Listings
A B C D E F G H I J K L M N O P Q R S T U V W X Y Z
Click a letter to see a list of medical procedures beginning with that letter.
Click 'Back to Intro' to return to the beginning of this section.

Bone X-ray

A bone X-ray is a way to take pictures of bones. It may also be called bone radiography. In this test, a low dose of radiation is passed through the body, producing digital images of the bones or images on a piece of film.

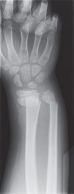
X-ray of an arm and hand showing a broken wrist
X-ray of a broken wrist

Why might I need a bone X-ray?

X-rays of bones may be taken to:

  • Find breaks or chips (fractures) in the bones.

  • Make sure that a fracture has been correctly set for healing, or make sure that a fracture has healed correctly.

  • Plan surgery on the spine and joints, or check the results of this surgery.

  • Guide surgery, such as a spinal repair or fusion, joint replacement, and fracture reduction.

  • Find foreign objects in soft tissues around or in the bones.

  • Keep track of the progress of arthritis and other bone or joint diseases.

  • Find and diagnose bone cancer.

How do I get ready for a bone X-ray?

  • You may be asked to change into a hospital gown (depending on the area of your body being examined).

  • Tell the technologist if there is any chance that you are pregnant.

  • Remove hair clips, jewelry, dentures, and other metal items that could show up on the X-ray.

What happens during a bone X-ray?

You will lie, sit, or stand so that the part of your body being examined is underneath the X-ray equipment. The technologist will position you.

  • Certain parts of your body, such as your reproductive organs, may be shielded to protect them from radiation.

  • You will need to remain still while the X-rays are being taken. Pillows and foam pads may be used to help you stay in position.

  • You may be asked to hold your breath for a few seconds at a time.

  • You may need to hold several positions so that more than 1 view may be taken.

What are the risks of a bone X-ray?

Your health care provider can discuss the risks of X-rays with you. In most cases, the benefits of bone X-ray far outweigh the risks.

What happens after a bone X-ray?

The whole procedure usually takes less than 15 minutes.

  • You'll be asked to wait until the technologist has looked at the images to see if more need to be done.

  • A health care provider called a radiologist will look at the X-ray results and send a report to your provider.

  • Your health care provider will discuss the results with you when the images are ready.

Online Medical Reviewer: Mahammad Juber MD
Online Medical Reviewer: Marianne Fraser MSN RN
Online Medical Reviewer: Raymond Turley Jr PA-C
Date Last Reviewed: 1/1/2025
© 2000-2025 The StayWell Company, LLC. All rights reserved. This information is not intended as a substitute for professional medical care. Always follow your healthcare professional's instructions.